La
Concha bullosa est une malformation du cornet moyen caractérisée par une pneumatisation
du cornet moyen. 
Bien
que le plus souvent asymptomatique, la Concha bullosa peut être responsable de maux
de tête violents, d'obstruction nasale, ainsi que de réduction des capacités de
drainage et d'aération des sinus antérieurs de la face.
L'obstruction
d'une concha bullosa par oedème muqueux peut conduire à l'apparition d'une
infection appelée pyocèle.
Cet article intéressant présente le cas d'une volumineuse concha bullosa infectée se manifestant sous
un tableau clinique de migraines.
Cas clinique:
Patient
de 51 ans au passé de migraine, consultant pour des maux de tête pulsatiles
apparus depuis 1 mois s'aggravant de façon régulière, résistant aux traitements
antalgiques habituels. 
L'examen fibroscopique retrouve un volumineux cornet moyen  droit sans anomalie muqueuse associée, ni
rhinorrhée purulente, responsable d'une déviation septale contro-latérale.
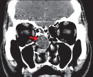
Le
scanner des sinus révèle une volumineuse concha bullosa D dont la cavité
apparaît totalement opaque associée à une déviation septale à convexité G. Les
sinus apparaissent normaux hormis une légère opacité affectant la bulle ethmoïdale
droite. 
|  | 
| scanner des sinus | 
Scanner des sinus montrant la Concha bullosa D infectée (flèche). 
Déviation controlatérale de cloison
Aération normale des sinus de la face.
Sur
la base des résultats cliniques et radiologiques, le diagnostic de mucocèle
surinfectée de la concha bullosa D a été établi. 
Une chirurgie endonasale est
alors entreprise associant à une résection du cornet moyen D a été réséquée une
ethmoïdectomie antérieure droite. La concha bullosa contenait de grandes
quantités de pus que l'analyse bactériologique rapporte à une infection par
Citrobacter Koseri.
Ce
traitement chirurgical complété par une antibiothérapie adaptée a permis une
amélioration clinique rapide du patient, avec notamment une disparition totale
de ses maux de tête.
Lors
des examens de suivi à 1 mois, 6 mois et 12 mois , le patient ne présentait plus de maux de tête, et l'endoscopie nasale était normale.
Avis du Dr Gilles Ayoun :
La
concha bullosa est l'anomalie la plus fréquente (15%) de l'anatomie sinuso-nasale
touchant le plus souvent le cornet moyen. Cette anomalie peut être uni ou bilatérale. Sa muqueuse et
son système de drainage muco-ciliaire n'est pas différente de celle qui tapisse
le reste des sinus. L'obstruction de l'ostium de la concha bullosa peut conduire
à l'élaboration d'une mucocèle, qui lorsqu'elle devient infecté, est appelée pyocele.
|  | 
| Concha bullosa G | 
La
concha bullosa est habituellement asymptomatique  Cependant son caractère
obstructif du méat moyen peut aboutir à l'apparition de maux de tête, douleurs orbitaires,
exophtalmie, écoulement nasal, obstruction nasale, ou baisse de l"odorat.
L' IRM ou le scanner des sinus permettent le diagnostic et d’évaluer d'éventuelles complications
intracrâniennes et/ou orbitaires.
L'association concha bullosa et maux de tête :
De
nombreuses études ont permis de retrouver une corrélation entre l'existence
d'une concha bullosa et des maux de tête invalidants alors que les sinus sont
normaux. Ces douleurs sont liées au contact
muqueux cornet-cloison. 
Ces
points de contact entraineraient par une libération de substance P,
neuromédiateur des fibres C nociceptives d'origine trigéminales, localisées au
niveau de la muqueuse nasale. cette libération de substance P s'accompagne de
la libération d'autres peptides (calcitonin
generalated peptid, vasoactive intestinal peptide..) qui vont entretenir le
mécanisme inflammatoire.
Le Traitement: 
Les concha bullosa asymptomatiques ne nécessitent aucun
traitement. 
La chirurgie endonasale est absolument nécessaire en cas de maux de tête
violents,  de complications sinusiennes, ou de l'installation d'une infection du cornet moyen bulleux
(pyocèle). Cette chirurgie associe drainage et exérèse
de la concha bullosa éventuellement étendue au sinus ethmoïdo-maxillaire contigus.
Reference : April 30, 2012 by Rabia Shihada, MD; Michal Luntz, MD Ear Nose Throat J. 2012 May;91(5):E16
 Pour une information complète sur la chirurgie du nez et des sinus: www.institut-nez.fr
Pour une information complète sur la chirurgie du nez et des sinus: www.institut-nez.fr
 

Out Of Topic Show Konversi KodeHide Konversi Kode Show EmoticonHide Emoticon